Free Dental Treatment

Dipublikasikan pada Sabtu, 13 September 2025

Free Dental Treatment

Perawatan Gigi Gratis Merupakan Program Unggulan dari BKGN UGM 2025. Pasien hanya perlu melakukan pendaftaran/registrasi melalui website lalu dapat langsung hadir melakukan pemeriksaan gigi di RSGM FKG UGM selama rangkaian acara masih berlangsung. Perawatan yang dilakukan juga beragam mulai pencabutan gigi sederhana, perawatan gigi berlubang sederhana, scalling, pemeriksaan dan juga konsultasi kesehatan gigi dan mulut. FDT dapat diperoleh oleh masyarakat umum tanpa batas umur.

Penjelasan Singkat Tentang Layanan FDT

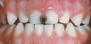
  1. Penambalan Gigi Sederhana

    Penambalan sederhana kelas 1 / 3 / 5 dan karies media. Prosedur ini melibatkan pengangkatan jaringan gigi yang rusak dan pengisian dengan bahan tambal yang sesuai, guna mengembalikan fungsi dan estetika gigi

    Kelas 1

    kelas-1.jpg

    Kelas 3

    kelas-3.jpg

    Kelas 5

    kelas-5.jpg

  2. Pencabutan Gigi Sederhana

    Pencabutan gigi dengan posisi lurus / tidak tumbuh miring dan tidak tertutup oleh gusi.

    cabut-sederhana.JPG

  3. Scalling

    Proses pembersihan karang gigi secara menyeluruh untuk menjaga kesehatan gusi dan mencegah infeksi. Tindakan ini dilakukan dengan menggunakan alat khusus untuk menghilangkan plak dan karang gigi yang menempel pada permukaan gigi.

    scalling.JPG

Gallery

SHP

SHP

SHP